当前位置: 首页 > 产品大全 > 扁平苔藓与白塞氏病的特征表现及病因分析

扁平苔藓与白塞氏病的特征表现及病因分析

扁平苔藓与白塞氏病的特征表现及病因分析

扁平苔藓和白塞氏病都是临床常见的疾病,虽然两者在表现上有一定差异,但都可能对患者的生活质量造成影响。以下是关于扁平苔藓的特征表现、原因,以及白塞氏病的简要介绍。

一、扁平苔藓的特征表现

扁平苔藓是一种慢性炎症性皮肤病,主要影响皮肤和黏膜。其典型特征包括:

  1. 皮肤表现:出现紫红色或淡紫色的扁平丘疹,表面光滑且有光泽,边界清晰。皮疹常呈多角形,可融合成片状,多见于手腕、前臂、踝部和小腿。患者常伴有剧烈瘙痒。
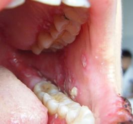
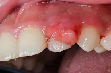
  2. 黏膜表现:口腔黏膜是最常见的受累部位,表现为白色网状或花边状条纹(称为Wickham纹),可伴糜烂、疼痛或灼热感。少数患者可能累及生殖器黏膜。
  3. 病程特点:扁平苔藓通常病程较长,可能持续数月甚至数年,部分病例可自行缓解,但易复发。

二、引起扁平苔藓的原因

扁平苔藓的确切病因尚未完全明确,但目前研究认为可能与以下因素有关:

  1. 免疫因素:多数观点认为扁平苔藓是一种T细胞介导的自身免疫性疾病,免疫系统异常攻击皮肤和黏膜细胞。
  2. 遗传因素:部分患者有家族史,提示遗传易感性在发病中起作用。
  3. 感染因素:某些病毒(如丙型肝炎病毒)或细菌感染可能触发免疫反应,诱发扁平苔藓。
  4. 药物与化学物质:某些药物(如非甾体抗炎药、降压药)或接触化学物质(如金属合金)可能作为诱因。
  5. 精神压力:情绪紧张或精神压力可能加重或诱发疾病。
  6. 其他因素:糖尿病、高血压等慢性疾病也可能与扁平苔藓的发病相关。

三、白塞氏病的简要介绍

白塞氏病(Behçet's disease)是一种全身性血管炎症性疾病,以复发性口腔溃疡、生殖器溃疡和眼部炎症为典型特征。其表现多样,可能累及皮肤、关节、消化道和神经系统。病因尚不明确,可能与遗传、免疫异常和环境因素(如感染)有关。白塞氏病与扁平苔藓不同,前者更注重系统性症状,而后者主要局限于皮肤和黏膜。

扁平苔藓的特征表现为皮肤和黏膜的紫红色丘疹及白色条纹,原因涉及免疫、遗传和环境等多方面;而白塞氏病则以反复溃疡和系统受累为特点。如果出现相关症状,建议及时就医进行诊断和治疗。

如若转载,请注明出处:http://www.baisaishi.net/product/25.html

更新时间:2026-05-26 13:48:18