当前位置: 首页 > 产品大全 > 口腔扁平苔藓与白塞氏病 症状、诊断与治疗全解析

口腔扁平苔藓与白塞氏病 症状、诊断与治疗全解析

口腔扁平苔藓与白塞氏病 症状、诊断与治疗全解析

口腔扁平苔藓和白塞氏病都是影响口腔黏膜的慢性炎症性疾病,尽管它们在某些症状上可能相似,但病因、表现和治疗方法存在显著差异。以下是关于这两种疾病的详细解析。

一、口腔扁平苔藓

口腔扁平苔藓是一种常见的非传染性、慢性炎症性疾病,主要影响口腔黏膜,如颊部、舌头和牙龈。其确切病因尚不清楚,可能与免疫系统异常、遗传因素、压力或某些药物有关。

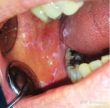
症状:患者常出现白色网状、条纹状或斑块状病变,有时伴有糜烂、溃疡或疼痛,尤其是在进食辛辣食物时。少数病例可能演变为癌变,因此定期随访很重要。

诊断:通常通过临床检查和活检确诊,医生会评估病变特征并排除其他疾病。

治疗:目前尚无根治方法,治疗旨在缓解症状。常用方法包括局部应用皮质类固醇、免疫调节剂,以及避免刺激性食物。严重病例可能需要系统性药物治疗。

二、白塞氏病

白塞氏病是一种罕见的系统性血管炎症性疾病,可影响多个器官,包括口腔、眼睛、皮肤和生殖器。其病因可能与遗传、环境因素和免疫失调有关。

症状:口腔溃疡是白塞氏病的常见首发症状,通常表现为反复发作的痛性溃疡,类似阿弗他溃疡。其他症状包括眼部炎症(如葡萄膜炎)、皮肤病变、关节痛和生殖器溃疡。严重时可能涉及神经系统或血管。

诊断:白塞氏病的诊断基于国际标准,包括反复口腔溃疡加上其他特征(如眼部、皮肤或生殖器病变)。医生可能进行血液检查、影像学或活检以排除其他疾病。

治疗:治疗因人而异,取决于症状严重程度。常用药物包括皮质类固醇、免疫抑制剂和生物制剂。生活方式调整,如减轻压力,也有助于管理病情。

比较与注意事项

虽然口腔扁平苔藓和白塞氏病都可能导致口腔溃疡,但后者是系统性疾病,常伴随多器官受累。如果出现持续口腔病变,建议及时就医进行专业诊断。保持良好口腔卫生、避免烟酒和定期复查是管理这两种疾病的关键。

了解这些疾病的基本知识有助于早期识别和适当处理。如果怀疑患有口腔扁平苔藓或白塞氏病,请咨询口腔科或风湿免疫科医生以获得个性化治疗建议。

如若转载,请注明出处:http://www.baisaishi.net/product/11.html

更新时间:2026-05-08 15:28:30